-
BIST 100
16236,83%-0,10
-
DOLAR
44,21% 0,07
-
EURO
51,10% 0,14
-
GRAM ALTIN
6934,03% -2,51
-
Ç. ALTIN
11467,55% -1,01
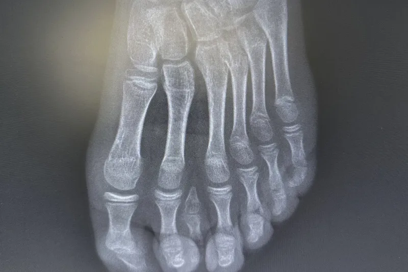
Batman'da nadir 7 parmaklı ayak vakası başarıyla tedavi edildi
Batman Eğitim ve Araştırma Hastanesinde, 8 yaşındaki E.H. isimli hastada nadir görülen doğumsal bir ayak anomalisi başarıyla tedavi edildi.
Yetkililer, el ve ayaklarda fazla (polidaktili) ya da eksik parmak vakalarına zaman zaman rastlandığını ancak 7 parmaklı ayak olgularının oldukça nadir görüldüğünü belirtti.
Genel yaklaşımda bu tür vakalarda cerrahi planlamanın ayağın beş parmaklı anatomik yapısına uygun şekilde yapıldığı ifade edildi. Ancak hastanın yapılan detaylı klinik ve radyolojik değerlendirmelerinde altı parmağın; falanks (parmak kemikleri), metatars (tarak kemikleri) ve diğer ayak kemikleri ile uyumlu ve düzgün şekilde geliştiği tespit edildi.
Uzmanlar, mevcut altı parmağa müdahale edilmesinin ayak biyomekaniğini ve dengesini olumsuz etkileyebileceğini değerlendirdi.
Bu doğrultuda cerrahi planlama yeniden yapılarak, fonksiyonel açıdan yetersiz ve estetik olarak problem oluşturan tek parmağın çıkarılmasına karar verildi. Operasyon sırasında diğer parmaklara ait damar ve sinir yapıları titizlikle korunurken, mikrocerrahi teknikler kullanılarak işlem sorunsuz şekilde tamamlandı.
Operasyon, Batman Eğitim ve Araştırma Hastanesinde görevli Ortopedi ve Travmatoloji Uzmanı Uzm. Dr. Mehmet Yavuz Başer tarafından başarıyla gerçekleştirildi. Hastanın genel durumunun iyi olduğu ve operasyonun başarılı şekilde sonuçlandığı bildirildi.
“Nadir ve kompleks vakalar da başarıyla tedavi ediliyor”
Hastane yönetimi tarafından yapılan açıklamada, gerçekleştirilen bu özellikli cerrahi müdahalenin ileri cerrahi teknikler, mikrocerrahi hassasiyet ve bireye özgü planlamanın bir arada uygulanmasıyla mümkün olduğu vurgulandı.
Batman Eğitim ve Araştırma Hastanesinin, deneyimli uzman kadrosu ve güçlü teknik altyapısıyla nadir ve kompleks ortopedik vakalarda da etkin, güvenli ve yüksek başarı oranlı sağlık hizmeti sunmaya devam ettiği kaydedildi. (İLKHA)
Avukat Akşit: Süresiz nafaka ve 6284 sayılı kanun yeniden düzenlenmeli
73 ilde uyuşturucu operasyonu: 475 şüpheli tutuklandı
Bayram öncesi otogarda beklenen yoğunluk oluşmadı
Uzmandan tavsiyeler: Bayramda sağlığınızı riske atmayın!
Orta Doğu'da Savaşın 19. Günü
Mardin'de tatlı bayram telaşı esnafın yüzünü güldürüyor
İçişleri Bakanlığından bayram öncesi trafik uyarısı
Pastanelerde gece gündüz bayram yoğunluğu mesaisi
Malatya'da spor salonunda çıkan yangın paniğe neden oldu
Çanakkale Zaferi'nin 111'inci yıl dönümü Diyarbakır'da kutlandı
MSB: Uluslararası toplumun sorumluluğunu yerine getirmesi çağrımızı yineliyoruz
Umut Kervanı Tarsus, ihtiyaç sahiplerine yardımda bulundu
Malatya'da 750 gramın altında doğan üç prematüre bebek sağlığına kavuştu
Ticaret Bakanlığı sahte ilan ve dolandırıcılığa karşı EİDS ile önlem alıyor
İncirlik Üssü'ne ikinci Patriot sistemi konuşlandırılıyor
Bayramda sağlıklı beslenme için uzmanından kritik uyarılar
Gaziantep'te baklava mesaisi: Ustaları siparişlere yetişmeye çalışıyor
Malatya'da gıda güvenliği için denetimler yoğunlaştı
İzmir’de silahlı saldırıda 2 kişi tutuklandı
HAMAS, Ali Laricani'nin şehadeti nedeniyle İran'a başsağlığı dileklerini iletti
Ümmet sessiz, Mescid-i Aksa 19 gündür esir
Malatya'da bayram öncesi denetimler artırıldı
HÜDA PAR Batman İl Başkanı Şahin: Daha özgür ve huzurlu bayramlar için dua edelim
Elektrikli araçlar seyir halindeyken şarj olacak projede başarı sağlandı
BM: İran savaşı sürerse küresel açlık şiddetlenecek
Keşm Adası neden hedefte? Hürmüz'de kritik düğüm
İşgal rejimi Batı Şeria’da çoğu esir eşi 16 kadını alıkoydu
Beyaz et, yumurta, nohut ve kuru fasulye ihracatı sınırlandırıldı
Müftü Yardımcısı Kiraz: Kabirler yaşayanlar için ibret vesilesidir
Kastamonu’da denizlerde fırtına uyarısı
Yükleniyor





